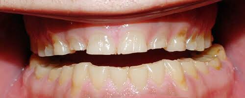
Oral Medicine And Radiology Bruxism April 23, 2020July 28, 2020 Dr.Mehnaz1 Comment Clinical Presentation Image sources: Google Share this:Tweet Share on Telegram (Opens in new window) Telegram Share on WhatsApp (Opens in new window) WhatsApp Email a link to a friend (Opens in new window) Email Like Loading... Related Pages: 1 2
Very Nice !!
LikeLiked by 1 person