WHAT IS A ORTHODONTIC STUDY MODEL? It is an essential diagnostic record which help to study the occlusion and dentition from all 3 dimensions. The models are used as pre-treatment models, stage models and post treatment models. Purposes of Orthodontic Study Models Represent the case prior to orthodontic treatment. Aid the dentist in diagnosing […]
Orthodontics – Study Models
Author: Dr. Kriti Jain
DENTAL CARIES

Flow Chart of Dental Caries includes:-
•Etiology
•Diagnosis
•Management
•Prevention
Source:- DCI WEBNEIR on Dental caries-30 Aug 2020.
Letterer – Siwe Disease

- Rare, acute aggressive disseminated proliferative lethal disease of Langerhans cells that affects infants <2 years old.
- Accounts for 10% of cases of Langerhans cell histiocytosis
Clinical features:-
- Initial manifestation often skin rash involving trunk, scalp & extremities.
- Recurrent pyoderma – like lesions with crusting and scaling, vesicopustular and purpuric eruption; resembling seborrhoeic dermatitis.
- Denuded skin may facilitate microbial invasion, leading to sepsis.
- Persistent low grade spiking fever with malaise & irritability.
- Splenomegaly, hepatomegaly & lymphadenopathy are early manifestations.
- Nodular lesions in body flexures and intraoral haemorrhage.
- Myelophthisic anemia , leukopenia and thrombocytopenia may also be seen.
- Bone lesions are not common initially.
- Diffuse involvement of skeletal system occurs later in the disease.
- The uvea may be affected; orbital involvement is most unusual
- The pustules are sterile and Tzanck smear of the vesicopustules shows pale histiocytes which can be used as a rapid screening test.


Oral manifestations:-
- Ulcerative lesions, gingivitis, loose teeth, ectopic teeth also may be seen.
- Parents frequently report precocious eruption of teeth, when in fact the gums are receding to expose immature dentition
- Diffuse destruction of maxilla & mandible.
- Some cases extreme rapid course of disease; oral involvement does not occur.
Histologic Features:-
1.Very similar to HSC; histiocytic proliferation with or without eosinophils.
2.These histiocytes do not contain significant amounts of cholesterol.
3.‘Foam cells’ not a feature.

Treatment & Prognosis:-
- Extremely poor; Course of disease rapid & terminates fatally in short time.
- Poor prognostic features include younger age; dissemination of lesions; involvement of lungs, liver, CNS and RE system; associated infection; anaemia, thrombocytopenia and purpura
- Chemotherapy coupled with radiation to localised bony lesions and supportive measures are useful in treatment.
- Thymic extracts have been successfully used to treat LS disease
References:-
Shafer’s 8th edition
Hand Schuller Christian Disease (Multifocal Eosinophilic Granuloma)
- Characterized by widespread skeletal & extra – skeletal lesions & chronic clinical course.
- Occurs primarily in early life, before the age of 5; more common in boys & girls.
- Most cases reported from Western literature, authentic cases from India are few.
Clinical features:-
- Classic triad of :-
- Single or multiple areas of ‘punched out’ bone destruction in skull
- Unilateral or bilateral exophthalmos
- Diabetes insipidus with or without other manifestations of dyspituitarism
- Involvement of facial bones frequently associated with soft tissue swelling & tenderness; causes facial symmetry.
- Classically involves the flat bones of the skull, ribs, pelvis, and scapula
- Diabetes insipidus affects 5 to 50% of patients.
- Skin involvement in the form of erythematous scaly rash or papular or nodular lesions which is seen in only 30% of patients.
- Poor sexual development and retarted growth is another feature.
- Vision loss or strabismus caused by optic nerve or orbital muscle involvement occurs rarely.
- Chronic otitis media and otitis externa due to involvement of the mastoid and petrous portions of the temporal bone with partial obstruction of the auditory canal are fairly common
Oral manifestations:-
- Earliest signs of the disease; may be present in 5 – 75% of cases.
- Often non specific; sore mouth, halitosis, gingivitis, ulcerations, loose teeth, suppuration, failure of healing of extraction sockets
- Loss of supporting alveolar bone mimicking advanced periodontal disease is characteristic.

Radiological features:-
- Skull lesions sharply outlined; jaw lesions may be diffuse.
- Jaw lesions manifested as bone destruction with tooth displacement.
- Panoramic may show remarkable atrophy of the alveolar ridge and severe parodontitis.
- Remaining teeth abnormally sited in an extra alveolar position


Histological features:-
- Manifesting in four stages during progression of characteristic lesion
- Proliferative histiocytic phase with accumulation of collections of eosinophilic leukocytes scattered throughout sheets of histiocytes.
- Vascular – granulomatous phase with persistence of histiocytes & eosinophils, sometimes with aggregation of lipid laden (cholesterol) macrophages.
- Diffuse xanthomatous phase with abundance of ‘foam cells’
- Fibrous healing phase.
- Infiltration with CD1 positive histiocytes disclosing intracytoplasmic Birbek granules at the electron microscopic examination .
- Histological diagnosis is based on the presence of a histiocytic infiltrate in the upper and middle dermis.
- The optical microscope examination reveals in the papillary dermis an important oedema, large cells with an indented nucleus and abundant eosinophilic cytoplasm
- Histochemical colouring, showing positiveness for S-100 protein, the presence of CD1, CD4 and HLA-DR surface antigens confirm the diagnosis

Treatment & prognosis:-
- Therapy of the Hand-Schuller-Christian disease varies according to the age of the patient, the severity and extent of the clinical picture.
- Approximately half of the patients undergo spontaneous remission over a period of years.
- Treatment of choice is curettage or excision of lesions.
- Inaccessible lesions may be irradiated.
- Some patients may benefit from chemo – therapeutic drugs like Prednisone, Vinblastine & Cyclophosphamide.
Reference:
1.Faculty notes
2.Google
Tay – Sachs Disease

- Characterized by mutation in or deficiency of enzyme hexosaminidase.
- Without this, gangliosides, particularly ganglioside GM2, build up in cells, especially nerve cells in the brain.
- Classified into infantile, juvenile, and adult forms, depending on the symptoms and when they first appear.
- Most people with Tay-Sachs have the infantile form.
Clinical Features:-
- Infants with this disorder typically appear normal until the age of 3 to 6 months
- Affected infants lose motor skills such as turning over, sitting, and crawling.
- Develop an exaggerated startle reaction to loud noises.
- As the disease progresses, children experience seizures, vision and hearing loss, intellectual disability, and paralysis.
- An eye abnormality called a cherry-red spot, is characteristic of this disorder.
- Children with this severe infantile form of Tay-Sachs disease usually live only into early childhood.

References:-
1.Shafers’ 8th edition
2.Google images
3. For better understanding: https://youtu.be/2z3nSnBe8Vg
Niemann – Pick Disease
- Autosomal recessive trait; due to lysosomal accumulation of sphingomylin resulting from inherited deficiency of sphingomyelinase.
- The accumulations take place in spleen, liver, lungs, bone marrow, and brain.
- A missense mutation causes complete deficiency of sphingomyelinase.
- The enzyme deficiency block degradation of lipid, resulting in the accumulation of sphingomyelin within lysosomes in the macrophage-monocyte phagocyte system.
- The following 6 types of Niemann-Pick disease have been described:-
- Type A – Acute neuronopathic form
- Type B – Visceral form
- Type C – Chronic neuronopathic form
- Type D – Nova Scotia variant
- Type E – Adult form
- Type F – Sea-blue histiocyte disease
- Another classification divides this disease into –
- Type A – acute infantile form.
- Type B – less common, chronic, non – neurological form.
- Type C – biochemically & genetically distinct form
Clinical Features:-
-
Niemann-Pick disease type A begins in the individual’s first few months of life. Symptoms include the following:
◦Feeding difficulties
◦Abdominal enlargement within 3-6 months
◦Progressive loss of early motor skills
◦Rapid decline leading to death by the time the patient is aged 2-3 years
- Niemann-Pick disease type B is similar to Niemann-Pick disease type A, but the symptoms are more variable.
◦Abdominal enlargement may be detected in early childhood.
◦Respiratory infections recur.
◦No neurologic involvement is present.
- Niemann-Pick disease type C usually affects school-aged children, but the disease may occur at any time from early infancy to adulthood.
Symptoms may include the following:
◦Unsteadiness of gait, clumsiness, problems in walking
◦Difficulty in posturing of the limbs
◦Slurred, irregular speech
◦Learning difficulties and progressive intellectual decline
◦Sudden loss of muscle tone, which may lead to falls
◦Seizures
Tremors accompanying movement.
Histologic features:-
-
Niemann – Pick cells are foamy, lipid – laden cells distributed throughout RES.
-
Positive for cholesterol & only weakly positive for ALP.
-
Affected cell becomes extremely large, enlarged secondary to distention of lysosomes.


Treatment:-
-
Enzyme replacement therapy currently being explored.
-
Current treatment symptomatic; consists mainly of antibiotic therapy for infections of pulmonary involvement.
-
Organ transplant (liver) also proposed
-
Overall prognosis poor.
References:-
Shafers’ 8th edition
Gaucher’s Disease
Common LSD, characterized by deposition of gluco – cerebroside in cells of macrophage – monocyte system.
Results from mutation in gene or deficiency of enzyme that codes for glucosylceramidase.
Leads to accumulation of glucosylceramide in mononuclear phagocytic cells; transformed into “Gaucher cells“.
Five autosomal recessive variants exist resulting from distinct allelic mutations.
Three have been described in the literature.
Pathogenesis:-
- Normally glycolipids derived from breakdown of senescent blood cells are sequentially degraded.
- In this condition, degradation stops at level of glucosylceramidases.
-
These transit through blood as macromolecules; engulfed by phagocytic cells of the body.
- These phagocytes “Gaucher cells” become enlarged due to accumulation of distended lysosomes
Type I – Chronic nonneuronopathic form:-
- Presents in childhood with hepatosplenomegaly, pancytopenia & skeletal disease.
- Most common variety, striking predilection for Ashkenazi Jews.
-
Characterized by clinical or radiologic bone involvement.
-
Spleen enlarges massively filling the entire abdomen.
Type II – Infantile/acute neuronopathic form:-
-
Rapidly progressive neurovisceral involvement.
-
Symptoms start before 2 years of age, very severe.
-
Results in death in infancy.
Type III – Juvenile/ Norrbotnian form:-
-
Patients are juvenile presenting with systemic involvement.
-
(intermediate between type I and type II).
-
Progressive CNS involvement usually begins in teens or early twenties.
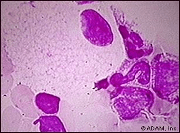
Histologic Features:-
- Numerous large, foamy, slightly granular cells with small, round, pyknotic nuclei – replace normal marrow structure.
- Sternal puncture or biopsies of liver or spleen will reveal typical “Gaucher’s cell”.
- Round, pale cell, 20 – 80µ, containing small eccentric nucleus & wrinkled or “crumpled silk” cytoplasm.


Treatment & Prognosis:-
-
Prognosis of Type II is very poor; death within first year.
-
Less virulent form may persist till 6th decade.
-
Administration of purified glucocerebrosidase results in dramatic decrease in hepatic accumulations of glucocerebroside.
-
Enzyme replacement therapy available; effective but extremely expensive.
REFERENCES:-
Shafer’s 8th edition
Hunter syndrome
Features of Mucopolysaccharidosis Syndromes– Hunter syndrome:-
- Type- II
- Eponym-Hunter.
- Inheritance- X-Linked R.
- Enzyme Defi ciency- Iduronate-2-sulfatase.Stored Substrate- HS heparan sulfate and DS DS, dermatan sulfate.
- Clinical Features – Appears at 1 to 2 years of age; clear corneas, reduced intelligence, growth retardation, stiff joints
-
Differs from Hurler’s syndrome in –
- Mode of inheritance (X – linked).
- Absence of corneal clouding.
- Milder clinical course..Results from deficiency of iduronate – 2 – sulfatase (I2S).
- Without enough I2S, partially broken-down mucopolysaccharides accumulate in the organs and tissues of the body and become toxic.
Clinical features :-
- Hunter syndrome is divided into two types.
I- Type A is he severe form, which usually is diagnosed in children aged 18-36 months.
- Considered the classic form.
- Children with type A may survive into the second and third decades of life.
-
Symptoms in type A may include:
-
coarse facial features and short stature.
-
enlarged liver and spleen.
-
progressive and profound mental retardation.
-
ivory-colored skin lesions on the upper back and sides of the upper arms and thighs.skeletal changes, joint stiffness, short neck, broad chest, and too-large head.
-
progressive deafness.
-
atypical retinitis pigmentosa and visual impairment.

II.Type B Hunter syndrome is much milder than type A
- May not be diagnosed until adulthood.
- Individuals with type B may live into their 70s.
- Their physical features are similar to those in type A.
- Individuals with type B, however, usually have normal intelligence and do not have the severe skeletal problems of type A.
Diagnosis:-
- In type A Hunter syndrome, the child’s appearance combined with other symptoms such as enlarged liver and spleen and the ivory-colored skin lesions can suggest the child has mucopolysaccharidosis.
- Type B Hunter syndrome is much harder to identify, and might only be recognized when looking at the maternal relatives of a child with Hunter syndrome.
- In either type, the diagnosis can be confirmed by a blood test for deficiency of I2S.
Treatment:-
- Medical care is directed towards relieving the symptoms of Hunter syndrome.
- Treatment with Elaprase (idursulfase) replaces I2S in the body and helps reduce symptoms and pain.
References:-
1.SHAFERS 8th edition
2.NEVILLE ‘S 3rd edition
Hurler’s syndrome
Features of Mucopolysaccharidosis Syndrome-HURLER’S SYNDROME(MPS I H, Gargoylism):
- Type- I-H
- Eponym-Hurler
- Inheritance-Autosomal Ressesive
- Enzyme Deficiency- α-L-Iduronidase
- Stored Substrate- HS- heparan sulfate and DS-dermatan sulfate
- Clinical Features – Appears in infancy; cloudy corneas, growth retardation, reduced intelligence, coronary artery disease; rarely live 10 years.
-
Chromosomal abnormality on chromosome arm 4p16.3
-
Characterized by increased levels of MPS in urine.
Clinical features:-
- Becomes apparent in first 2 years of life, life expectancy of 6-10 yrs.
- Head appears large; facial features quite typical.
- Prominent forehead
- Broad saddle nose & wide nostrils
- Puffy eyelids with coarse bushy eyebrows
- Hypertelorism
- Thick lips
- Large tongue with open mouth
- Nasal congestion & noisy breathing.
- Progressive corneal clouding classic manifestation.
- Hepatosplenomegaly, results in protrudent abdomen
- Short neck & spinal abnormalities typical.
- Flexion contractures result in “claw hand”.
- Dwarfed, mentally retarded individuals.

Histologic features:-
- Excessive accumulation of intracellular mucopolysaccarides in many tissues & organs.
- Accumulation of dermatan & heparan sulfate in cells of mononuclear – phogocyte system, fibroblasts & endothelial cells.
- Affected cells are swollen, have clear cytoplasm resulting from accumulation of PAS +ve material in engorged, vacuolated lysosomes.
- Involved fibroblasts assume appearance of ‘clear’ or ‘gargoyle’ cells.
- ‘Hurler cells’ relatively large with metachromatically staining cytoplasm with crescent shaped nuclei.
- Cells not identified with normal H/E stain but with toluidine blue or Alcian blue/ aldehyde fuchsin stains.
- Should be differentiated from mast cells.
Oral Manifestations:-

- Shortening and broadening of the mandible with prominent gonions.
- Localized areas of bone destruction in the jaws.
- Teeth may be small and widely spaced.
- Gingival hyperplasia has been repeatedly described in
patients with Hurler syndrome. - the tongue is also characteristically enlarged.
Laboratory findings:-
- Elevated levels of mucopolysaccharides in urine.
- Metachromatic granules or ‘Reily bodies’ often demonstrated in cytoplasm of circulating lymphocytes.
Treatment:-
- Because of multisystemic involvement in patients with mucopolysaccharidosis type I (MPS I), treatment is multidisciplinary and encompasses both the curative and palliative elements.
-
Corrective surgery may be necessary for patients with mucopolysaccharidosis type I (MPS I) who have joint contractures or foot and hand deformities.
-
Corneal transplants may be required if vision problems become severe.
-
Given the numerous mutations at this genetic locus, identification of which allele or alleles are involved requires referral to medical geneticists for diagnosis and genetic counseling.
References :-
1.SHAFERS’s 8th edition
2.NEVIELLE’S 3rd edition
Oral manifestations of systemic diseases-II
Hematologic Diseases :-
• Hematologic diseases are disorders which
primarily affect the blood.
• Anemia is usually defined as a decrease
in the amount of red blood cells (RBCs) or
hemoglobin in the blood.
• Oral Manifestations:–
– folate and vit. B12 deficiency
– iron deficiency
– glossitis
• red colour
• athrophic papilae
• recurrent aphthae
– candidal infection
– angular stomatitis
– oral pain
• Leukemia is a group of cancers that
usually begins in the bone marrow and
results in high numbers of abnormal white
blood cells.
*Oral Manifestations:-
– gingival hypertrophy
– petechiae
– mucosal ulcers
– hemorrhage
Treatment of leukemia
– reactivation of herpes simplex virus – oral mucosistis.
References:-
1.Google- slideshare.