MANAGEMENT:OAF

Buccal Advancement Flap

PALATAL ADVANCEMENT FLAP

  • This technique is very similar to buccal advancement technique where the gingiva is close to the oroantral defect is mildly advanced to approximate it.
  • May be done for small sized defects.
  • It is not possible to get too much of advancement, as the palatal tissue is very rigid and thick.
  • In this,the palatal tissue surrounding the OAC, is reflected +may be advanced downwards and sutured to the buccal tissue to cover the detect.
  • Not a very successful procedure.

ROTATIONAL ADVANCEMENT FLAP or ASHLEY’S FLAP OPERATION:


• It is posteriorly based flap which gets its supply from the greater palatine artery.
• Local anesthesia is infiltrated on the palatal aspect. Infilteration is also given on the buccal side of the oroantral defect.
• Removal of fistula tract and clearing any signs pathology.
• The flap is outlined with surgical marking an excess of what appears to be required to rotate the flap.
• Incision is placed to the bone making sure the palatal pedicle is kept intact.
• A full thickness mucoperiosteal flap is reflected with care taken to visualize the greater palatine vessels.
• A small amount of tissue along the margin of the defect on the buccal aspect is also reflected to enable suturing.
• The flap is reflected and rotated to fit the defect. There are chances of ending of the tissue when it is turned to cover the oroantral opening.
• The flap is sutured to the buccal flap ensuring a good water tight seal.
• The raw surface of the palate is left to granulate only.
• A small gauze soaked in Whitehead’s varnish may be placed on that raw surface for a few days.

REFERENCES:

  • Textbook of Oral & Maxillofacial Surgery, Chitra Chakravarthy (2nd Edition)
  • Slideshare
  • researchgate.net

Caldwell-Luc Procedure

George Caldwell (New York)(1893)

Described a method of gaining space on maxillary sinus via canine fossa with nasal antrostomy.

Henric Luc (Paris)(1897)

Reported the same procedure as his own.

Thus a procedure by which the antrum is entered intraorally through the anterior wall & all irreversible disease is removed.

It is followed by antrostomy to promote permanent cure.

INDICATIONS:

  • Chronic Maxillary sinusitis.
  • Removal of foreign bodies in the antrum,such as root apices.
  • Treatment of benign dental cyst & tumours.
  • Treatment of Oro-antral fistula,that fails to heal.
  • Biopsy procedure for a suspected malignancy in the antrum.
  • Recurrent antrochoanal polyp.
  • Approach to Pterygopalatine fossa, Sphenoid sinus, Ethmoidal sinus.

CONTRAINDICATIONS:

  • Age: Not performed in patients below 17yrs as developing tooth buds in that region, may be damaged.
  • Acute infection.
  • Other systemic causes contraindicating surgery.

PROCEDURE:

1. Incision:

A semilunar incision is placed on the muvobuccal fold.

2. Exposure:

  • A Full thickness mucoperiosteal flap is reflect extending upto the intraorbital nerve.
  • Care is to be taken to protect the intraorbital nerve.

3. Approach to Antrum:

  • A micromotor with a large round bur is used to create a window about 1.5 to 2 cm in the anterior wall of antrum.
  • Sinus mucosa is seen below the bone.

4. Antral Lesion:

  • The lesion may be excised.
  • A biopsy may be done/sinus mucosa may be removed with the help of a currette if the case demands for it.

5. Antrostomy:

  • An opening is made in the medial wall in the lowermost and anterior aspect of the inferior meatus.

6. Packing:

  • The sinus cavity may be packed in with ribbon guaze impregnated with vaseline .
  • Guaze is packed in layers & the free end is brought out through created antrostomy opening.

7. Sutures:

  • Bone margins are smoothened.
  • The flap is replaced.
  • Flao may be sutured using resorbable suture material.

POST OPERATIVE CARE:

  • Ice packs are placed over the cheek for the first few hours after the surgery.
  • Sinus pack to be removed after 24-48 hours.
  • Avoid blowing nose for the at least 2-4 weeks after surgery.

COMPLICATIONS:

1. Intra-Operative:

  • Bleeding
  • Damage to Infraorbital Nerve.
  • Damage to Orbital content.

2. Post-Operative:

  • Reactionary Hemorrhage
  • Infection
  • Recurrence of lesion.
  • Antrostomy opening may get occluded.

REFERENCES:

  • Textbook of Oral & Maxillofacial Surgery, Chitra Chakravarthy (2nd Edition)
  • WorldofDentistry.com

MANAGEMENT: TMJ ANKYLOSIS

  • Ankylosis can ONLY be treated surgically.
  • There is no form of pharmacological management.
  • Type of surgery depends on age of the patient & extent of deformity.
  • Treatment also varies if ankylosis is unilateral/bilateral.

SINGLE STAGE V/S 2-STAGE SURGICAL PROCEDURES:

  • Surgery can be done in two stages.
  • In the first operation, only a release of ankylosis is done.
  • It is believed that growth takes place after release of ankylosis.
  • Second stage procedure,an orthognathic surgery can be performed to restore esthetics.
  • Some, however prefer to it as a single stage procedure,where release of ankylosis + esthetic correction is done in a single stage operation in adults.

SURGICAL PROCEDURES:

There are 3 types:

  • Condylectomy.
  • Gap Arthroplasty.
  • Interpositional Arthroplasty.

TMJ APPROACHES:

SURGICAL APPROACHES TO THE TMJ:
P1 and P2— preauricular approaches;
PA-postauricular approach;
I—inverted hockey stick approach;
E -endaural approach.
R-retromandibular approach.

1. CONDYLECTOMY:

CONDYLECTOMY

2. GAP ARTHROPLASTY:

GAP ARTHROPLASTY

3. INTERPOSITIONAL ARTHROPLASTY:

AUTOGENOUS COSTCHONDRAL GRAFT

KABAN’S PROTOCOL:

REFERENCES:

  • Textbook of Oral & Maxillofacial Surgery, Chitra Chakravarthy (2nd Edition)
  • interchopen.com
  • researchgate.net

ANKYLOSIS OF TMJ

CLASSIFICATION:

1. Based on type of tissue causing Ankylosis:

2. Based on the Side Involved :

  • Unilateral Ankylosis
  • Bilateral Ankylosis

3. Based on Severity of Ankylosis:

  • Partial
  • Complete

4. Based on Etiology of Trismus:

  • Pseudo Ankylosis
  • True Ankylosis

SAWHNEY’S CLASSIFICATION:

Grading of Ankylosis in Children

CLINICAL FEATURES:

INVESTIGATIONS:

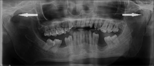
1. Radiographs:

– OPG

OPG: *Helps in bilateral comparison of the joint.**The antigonial notch can be appreciated in this type of radiograph.

-PA VIEW:

PA View:Medio-lateral extent of bony growth can be seen on this radiograph.

– Lateral Oblique View of Mandible:

Ankylotic mass can seen in the Anteroposterior direction.

2. Lateral Cephalogram:

Periodic radiographs taken can help to estimate growth of the jaw.

3. CT Scan:

Helpful as it gives an accurate picture of proximity of ankylotic mass to important structure,that cannot be seen in a radiograph.

CT Scan: Ankylosed TMJ

RADIOGRAPHIC FEATURES:

  • Decreased ramus height on the affected site.
  • Lack of joint space.
  • Normal joint space obliteration by bone/fibrous growth.
  • Elongation of coronoid process.
  • Deep antigonial notch.

REFERENCES:

  • Textbook of Oral & Maxillofacial Surgery, Chitra Chakravarthy (2nd Edition).
  • DentalHypothesis.com
  • Europe PMC
  • PocketDentistry.com
  • SciELO.com

NON -CARIOUS CERVICAL LESIONS:

TYPES OF NON-CARIOUS CERVICAL LESION
  1. EROSION:

2. ABRASION:

ABRASION

3. ABFRACTION:

ABFRACTION

MANAGEMENT:

REFERENCES:

  • Clinical Operative Dentistry & Principles, Ramya Raghu(2nd Edition)
  • pocketdentistry.com
  • ResearchGate.com
  • Dr.Joe NT Nguyens DDS
  • DentalNews.com
  • Youtube.com
  • Healthline.com
  • DentalArcade.com
  • DentaGama.com

ADAMS CLASP


• The Adams clasp was first described by Professor Phillip Adams.
• It is also known as Liverpool clasp, universal clasp and modified arrowhead clasp.
• When properly constructed this clasp offers maximum retention.
• The clasp is constructed using 0.7mm hard round stainless steel wire.

The Adams clasp is made of the following parts:
a) Two arrowheads
b) Bridge
c) Two retentive arms.
The two arrowheads engage the mesial and the distal proximal undercuts.
The arrow head are connected to each other by a bridge that is at 45° to the long axis of the tooth.

ADVANTAGES:
• It is rigid and offers excellent retention.
• It can be fabricated on deciduous as well as permanent teeth.
• TheyThey can be used on partially or fully erupted teeth.
• It can be used on molars, premolars and on incision.
• No specialized instrument is needed to fabricate the clasp.
• Young’s universal pliers that are used routinely for most wire bending can be used.

  • It is small and occupies minimum space.
  • The clasp can be modified in a number of ways.


MODIFICATIONS:
• The Adams clasp can be modified in a number of ways.
• These modification is permit additional uses or enhanced retention.
• The following are some of the modifications of Adams clasp:

Adams with single arrowhead:


• The Adams clasp cam be modified to have a single arrowhead.
• This type of clasp is indicated in a partially erupted tooth, which usually is the last erupted molar.
• The single arrowhead is made to engage the mesio – proximal undercut of the list erupted molar.
• The bridge is modified to encircle the tooth distally and ends on the palatal aspect as a retentive arrowhead.

Adams with J Hook:


• A Hook can be soldered on to the bridge of the Adams clasp.
• These hooks are useful in engaging elastics.
• Adams with incorporated helix: A helix can be inc porated into the bridge of the Adams clasp This helps in engaging elastics.
Adams with additional arrowhead:
• Adams clasp can be constructed with an additional arrowhead.
• The additional arrowhead engages the proximal undercut of the adjacent tooth and is soldered on to the bridge of the Adams.
• This type of clasp offers additional retention.

Adams with additional arrowhead:

  • Adams clasp can be constructed with an additional arrowhead.
  • The additional arrowhead engages the proximal undercut of the adjacent tooth and is soldered on to the bridge of the Adams.
  • This type of clasp offers additional retention.

Adams With Incorporated Helix:

  • A helix can be incor porated into the bridge of the Adams clasp.
  • This also helps in engaging elastics.

Adams with soldered buccal tube:


• A buccal tube can be soldered on to the bridge of the Adams clasp.
• This modification permits use of extra-oral anchorage using face bow- headgear assembly .
Adams with distal extension:
• The Adams clasp can be modified so that the distal arrowhead has a small extension incorporated distally.
• This distal extension helps in engaging elastics.

Adams With Distal Extension:

  • The Adams clasp can be modified so that the distal arrowhead has a small extension incorporated distally.
  • This distal extension helps in engaging elastics.

Adams on incisors and premolars:

• Adams clasp can be fabricated on the incisors and premolars when retention in those areas is required.
• They can be constructed to span a single tooth or two teeth.

DISADVANTAGES:
• Needs special arrowhead forming pliers the o fabricate.
• Occupies a large amount of space on buccal side.
• Arrowheads can injure interdental soft tissues.
• Difficult & time consuming to fabricate.


REFERENCES:
• Orthodontics: The Art & Science,SI Balajhi (7th Edition).
• SlideShare

RAPID MAXILLARY EXPANSION

TYPES OF RME APPLIANCES:

Derichsweiler type:
• The first premolars and the first molars are banded.
• Wire tags are soldered onto the palatal aspect of the bands.
• These wire tags get inserted into a split palatal acrylic plate incorporating a screw at its centre.

REFERENCES:

  • Orthodontics: The Art & Science, SI Bhalajhi (7th Edition)
  • ResearchGate
  • Slideshare
  • accutechortho.com