
Mucormycosis is an opportunistic infection which usually occurs in immunocompromised patients, but the infection can occur in healthy individuals as well.
COMMON CAUSATIVE FUNGAL SPECIES
Rhizopus sp., Mucor sp., Rhizomucor sp., Syncephalastrum sp., Cunninghamella bertholletiae, Apophysomyces sp., Lichtheimia (formerly Absidia) sp.

TRANSMISSION
Transmission occurs through three modes: inhalation, inoculation, or ingestion of spores
Mucormycosis infection in the clinical environment has been linked to use of adhesive bandages, wooden tongue depressors, hospital linens, negative pressure rooms, water leaks, poor air filtration, non-sterile medical devices, and building construction. This is a possible explanation for the recent rise in the number of mucormycosis cases during the covid outbreak.
RISK FACTORS FOR MUCORMYCOSIS
Common predisposing factors include-
- AIDS
- Uncontrolled diabetes mellitus
- Cancers such as lymphomas
- Kidney failure
- Organ transplant
- Long term corticosteroid and immunosuppressive therapy
- Too much iron in the body (iron overload or hemochromatosis)
Depending on the location of fungal infection, mucormycosis is of 5 types-
- RHINOCEREBRAL MUCORMYCOSIS– It is the fungal infection in sinuses which can spread to the brain. It is of two types-
- Rhino-Orbito-Cerebral
- Rhino-Maxillary


Rhinocerebral form is the most common, accounting to nearly one-third of all the recorded cases of zygomycosis. This type of infection is primarily present in people with uncontrolled diabetes and those who had a kidney transplant.
Symptoms of Rhinocerebral Mucormycosis include-
- Facial swelling on one side.
- Headache
- Nasal or sinus congestion
- Black lesions on nasal bridge or upper side of the mouth that quickly becomes more severe.
- PULMONARY MUCORMYCOSIS– It is predominantly seen in cancer patients or those who have undergone stem cell transplant or organ transplant.
Symptoms of pulmonary mucormycosis include-
- Fever
- Cough
- Chest pain
- Shortness of breath.
- GASTROINTESTINAL MUCORMYCOSIS– It is most common in children, especially premature and low birth weight infants less than 1 month of age, who have had been on antibiotics or any kind of medications. This type of infection is less prevalent in adults. Symptoms of Gastrointestinal Mucormycosis include-
- Abdominal pain
- Nausea and vomiting
- Gastrointestinal bleeding
- CUTANEOUS MUCORMYCOSIS– It occurs when the path of entry of fungus is skin, through any trauma to the skin surface. Cutaneous mucormycosis can give a clinical picture of blisters or ulcers, and the infected area may turn charred or black. Other symptoms include-
- Pain
- Warmth
- Excessive redness
- Swelling around the wound.
- DISSEMINATED MUCORMYCOSIS– It occurs when the spread of infection is through the bloodstream. This category of mucormycosis has the highest mortality rate. Disseminated mucormycosis typically occurs in people who are already sick from other medical conditions, so it can be difficult to determine the symptoms related to mucormycosis.
WHAT SHOULD THE DENTIST LOOK OUT FOR?


The commonly involved areas are the palate, face, eyes and the nasal passage. Some of the signs include-
- Black patches on the hard palate (painful necrotic ulcerations)
- Swelling around the gums
- Discoloration of oral tissues
- Stuffy nose
- Heaviness below eyes
- Swelling of the face
- Intraoral pus discharge
- Mild tooth mobility (usually canine and 1st premolar region)
- Segmental mobility of the maxilla
DIAGNOSIS

Early diagnosis of mucormycosis infection is very crucial because of its rapid progression. Tools that help in making proper diagnosis are-
- Clinical findings by proper examination
- Radiographic evaluation using MRI, CT AND CBCT Scan
- Biopsy of the infected area
- Histological examination using KOH staining
- Culture of the specimen on Sabouraud’s agar
Radiographically, rhinocerebral mucormycosis shows nodular thickening of the sinus necrosis, sinus opacification without fluid level and spotty destruction of paranasal sinuses. CT scan with contrast/magnetic resonance imaging (MRI) can demonstrate erosion or destruction of bone and may help to determine the boundary of the disease.
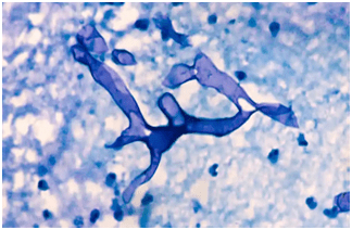
Histological examination of the biopsy specimen using KOH staining is useful in giving the final confirmation of the presence of fungal infection,which demonstrates long, broad, branching and nonseptate fungal hyphae. It is detected via a cotton swab sample of the nasal cavity, which is examined under a microscope.
COVID ASSOCIATED MUCORMYCOSIS
The mucormycosis cases reported after covid infection in a patient due to covid treatment related immunosuppression is called Covid-Associated Mucormycosis (CAM). Black Fungus is now commonly seen in patients who have recovered from covid-19 infection, who have been on oxygen support for a long time and diabetic patients. An infected mouth mask or an oxgen mask could also be the cause of the disease.
The fungus is normally present in the mucous lining of a healthy person, but a drop in the immune defense can trigger the growth of the fungus. After that it can reach to vital organs such as sinus, lungs and even brain. This is now happening more due to the heavy dose of steroids and anti-viral drugs which are used in the treatment of covid patients.
Diabetes further complicates the situation and promotes rapid fungal growth. The spread of the fungal infection is very aggressive and contagious in diabetic patients because of disruption of host defense mechanism and increased availability of nutrients such as free iron.
While steroids help in reducing lung inflammation to overcome the harmful effects of coronavirus, they also reduce immunity and cause a hike in blood sugar levels in both diabetics and non-diabetic Covid-19 patients. Thus, it is believed that this decline in immunity could be the driving force behind the rapidly increasing cases of mucormycosis.
TREATMENT OF MUCORMYCOSIS
The three main anti-fungal medicines employed in the treatment of Mucormycosis are-
- Amphotericin B (given through an IV, 5-10mg/kg/day)
- Posaconazole (given through an IV or orally, 100mg)
- Isavuconazole (given through an IV or orally)
In majority of the cases, surgical removal of the infected tissue is the only treatment option. Since there are high chances of reemergence of the fungal infection, it should be monitored carefully, with frequent follow-ups. Broadly speaking, the target organs of this fungal infection are eyes, lungs, skin and most recently, the oral cavity. This fungal infection is highly contagious as it spreads rapidly to other organs of the body, particularly to the brain.
Some simple oral hygiene practices to avoid the chances of getting mucormycosis after Covid infection are-

Maintaining good oral hygiene
Recent studies have proved that the anti-viral medicines and the steroids taken during the Covid infection period, lead to rapid growth of bacteria and fungus in the oral cavity, post recovery. This can cause a serious threat to the sinus, lungs, and even the brain. Routine brushing at least twice or thrice a day may help you to control the bacteria. Oral rising using a suitable mouthwash can also prove to be very beneficial.
New Toothbrush
It is advisable to the patients to change their toothbrush after recovery to avoid chances of reinfection from the virus present on the old toothbrush.
Disinfecting the toothbrush and tongue cleaner
Some experts suggest that a patient who has recovered from covid infection, should not keep their toothbrush and tongue cleaner in the same holder as of their other family members. This can help in spread of infection to other members of the family. It is also advised to clean the brush and tongue cleaner using an antiseptic mouthwash.
ROLE OF A DENTIST
Dentists can play a very important role in management of mucormycosis by diagnosing it early, carrying out proper investigations and referring to the appropriate specialists at the correct time. They can keep in mind the following clinical workflow for mucormycosis, to detect such cases coming in their clinics at their earliest-
History– A dentist should properly take history of previous Covid infection and hospitalization.
Symptoms and signs– A dentist should look out for the signs which have been mentioned previously
Investigations– Performing adequate investigations such as CT, MRI, Biopsy, etc.
Prescribe– A dentist can prescribe Analgesics and anti-inflammatory drugs, Antipyretics and Antibiotics to provide the patient relief for a shorter period, before referring to specialists.
Counselling– Counsel the patient to stay calm and follow the instructions.
Record– A dentist should keep a record of the clinical findings and the referrals.
Referral– A dentist should refer the mucormycosis patients to OMFS, ENT and Ophthalmologist for appropriate treatment.
Mucormycosis does not spread via contact transmission. Thus, the best way to keep oneself safe from the fungal infection is by self-care. One should always wear a mask before stepping outdoors even if their immunity is good. For health care professionals, it is very important to wear masks and gloves while doing bandages on the wounds and even while tending to fungal infected patients, to keep themselves safe.
DR. DEVYANI ALLEN
BDS, FRCD

Well explained
LikeLiked by 1 person
I absolutely love your site.. Pleasant colors & theme. Did you build this amazing site yourself? Please reply back as I’m trying to create my own website and would like to know where you got this from or exactly what the theme is named. Thanks!
LikeLike