ACID ETCHING IN COMPOSITE RESTORATIONS

INTRODUCTION

  • Acid etching is a process by which naturally smooth tooth surface is roughend to create micromechanical interlocking of surfaces.
  • the end point of etching is creation of irregular tooth surface that appears frosty white due to light refraction.
  • recommended etching time to prepare the enamel surface for bonding is 15-20 sec.
    • primary teeth-60 sec.
    • teeth effected by fluorosis-60-120 sec.
  • 37% phosphoric acid is ideal concentration for the purpose.

Types

  • liquids
  • gels

LIQUIDS- useful when-

  • larger surface area is to be etched as they flow easily.
  • surfaces have deep grooves or fissures as it easily penetrates the irregularities.
  • applied using-
    • small cotton pellets
    • foam sponges
    • micro sponges
    • special applicator tips

GELS-

  • They were developed by adding small amount of micro fillers or cellulose as thickening agents.
  • they show less flow and higher viscosity.
  • useful when controlled applications are required such as preparation walls, bevels and margins.
  • applied using-
    • brushes
    • paper points
    • syringe applicators.

KENNEDY’S CLASSIFICATION

  • This is the most accepted classification given by EDWARD KENNEDY.
  • The Kennedy’s classification is based on the relationship of the saddles to the natural teeth.
  • It has four main group with modifications of each of the first three of these:

CLASS-1

Bilateral edentulous area located posterior to the remaining natural teeth.

CLASS-2

Unilateral edentulous area located posterior to the remaining natural teeth.

CLASS-3

Unilateral edentulous area with natural teeth both anterior and posterior to it.

CLASS-4

Single bilateral edentulous area located anterior to the remaining natural teeth.

MERITS

  • Classification is simple and universally accepted.
  • It allows to clearly communicate, to write, or to diagnose the condition of the oral cavity in which teeth are to be replaced.
  • It permits visualization of the type of partially edentulous arches being considered.
  • Type of design can be decided.
  • Easy to apply.
  • Forms basis for Applegate, Kennedy and Swenson classification.
  • Type of support can be determined.

DEMERITS

  • Does not give proper information of teeth present and their positions.
  • Does not mention about abutment teeth.
  • Not applicable to single standing tooth.
  • It tells about spaces but not all teeth to be replaced.

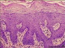
FOCAL EPITHELIAL HYPERPLASIA(HECK DISEASE)

HPV- induced local epithelial hyperplasia.

ETIOLOGY

Caused by HPV-B and HPV-32

CLINICAL FEATURES

SEX- no gender prediliction

AGE- Children

SITE- labial, lingual, buccal mucosa.

clinical presentation

  • LESION-
    • Papular in nature
    • broad based
    • same colour as skin-pale/white.
  • 0.3-1 cm, discrete ,well demarcated plaques
  • smooth surfaced/flat topped are commonly seen.
  • they cluster closely together that they give COBBLE STONE/FISSURED APPEARANCE.

HISTOLOGIC FEATURES

  • ACANTHOSIS of oral epithelium.
  • RETE RIDGE FORMATION
    • normal
    • but are indented, confluent and club-shaped
  • MITOSOID CELL
    • Result from viral alteration of the cells.
  • PAPPILARY PROJECTIONS.

TREATMENT

  • Conservative excisional biopsy.
  • Spontaneous regression is observed.

FORDYCE GRANULES

A developmental anomaly characterized by heterotrophic collections of sebaceous glands at various sites in oral cavity.

ETIOLOGY

  • Results from inclusion in oral cavity of ectoderm having some potentialities of skin in course of development of maxillary and mandibular process during embryonic life.

CLINICAL FEATURES

  • SEX- no gender prediliction
  • AGE- adults
  • SITE- Oral mucosa

clinical presentation

  • Small yellow spots either discreatly seperated/forming relatively large plaques-projecting slightly above the surface of the tissue.
  • bilaterally symmetrical pattern.
  • most common sites include-
    • oral mucosa
    • lips
    • retromolar area
    • tongue
    • gingiva
    • frenum
    • palate

HISTOLOGIC FEATURES

  • Lobules of sebaceous duct beneath the epithelium.
  • sebaceous cells are polygonal with centrally located nucleus and foamy cytoplasm.
  • these sebaceous glands are unassociated with hair follicles.
  • may show keratin plugging.

TREATMENT

No treatment is required.

Cracked tooth syndrome

  • It is characterized by sharp pain on chewing without any reason.
  • It caused by hidden crack of teeth.
  • These are incomplete fractures that are too small to be seen on radiographs.

Symptoms

  • Sharp fleeting pain
    • because when biting down,segments move apart. low pressure in nerves of pulp.
  • Bite release
    • segments snap back together sharply increasing the pressure causing pain.
  • Pain- which is inconsistent.

Causes

  • Attrition
  • Bruxism
  • Trauma
  • Accidental biting on hard object.
  • Presence of large restoration.
  • Improper endodontic treatment.
  • Craze line
  • Fractured cusp
  • Cracked tooth split tooth
  • Vertical root fracture

Treatment

  • Stabilization with stainless steel band.
  • Crown placement
  • Endodontic treatment
  • Restoration.

BRUSHING TECHNIQUES

INTRODUCTION

A number of tooth brushing techniques have achieved acceptance by the dental profession. Each technique has been designed to achieve a definite goal. Hence, no procedure can be described as the best. Depending on the individual cases, the techniques of tooth brushing may have to be altered to achieve the maximum beneficial effect.

BRUSHING TECHNIQUES

  • The bass method or sulcus cleaning method.
  • Modified bass technique
  • Modified stillman’s technique
  • Fones/circular/scrub method
  • Vertical method-Leonard’s method
  • Charters method
  • Scrub brush method
  • The roll technique
  • Physiologic method-smith method

The bass method or sulcus cleansing method

It is the most widely accepted and most effective method for the removal of dental plaque present adjacent to and directly underneath the gingival margin.

Indications

  • It is most adaptable for-
    • Open interproximal areas.
    • Cervical areas beneath the height of contour of enamel.
  • Exposed root surfaces.
  • It is recommended for patients with or without periodontal involvement.

Technique

The bristles are placed 45 degrees angle to the gingiva and moved in small circular motions.

Strokes are repeated 20 times. 3 teeth at a time.

On the lingual aspect of anterior teeth,the brush is inserted vertically and the neck of the brush is pressed into the gingival sulci and proximal surfaces at a 45 degree angle.

The bristles are then activated.

Occlusal surfaces are cleaning by pressing the bristles firming against the pits and fissures and then activating the bristles.

Advantages

  • Effective method for removing plague.
  • Provides good gingival stimulation
  • Easy to learn.

Disadvantages

  • Overzealous brushing may convert the very short strokes into a scrub brush technique and causes injury to the gingival margin.
  • Time consuming
  • Dexterity requirement is too high for certain patients

Modified bass technique

Indications

  • As a routine oral hygiene measure
  • Intrasulcular cleansing.

Technique

This technique combines the vibratory and circular movements of the bass technique with the sweeping motion of the roll technique. The toothbrush is held in a way that the bristles are at 45 degrees to the gingiva. Bristles are gently vibrated by moving the brush handle in a back and forth motion. The bristles are then swept over the sides of the teeth towards their occlusal surfaces in a single motion.

Advantages

  • Excellent sulcus cleaning
  • Good interproximal and gingival cleaning.
  • Good gingival stimulation.

Disadvantages

  • Dexterity of wrist is required.

Modified stillman’s technique

Indications

  • Dental plaque removal form cervical areas below the height of contour of the enamel and from exposed proximal surfaces.
  • General application for cleaning tooth surfaces and massage of the gingiva
  • Recommended for cleaning in areas with progressing gingival recession and root exposure to prevent abrasive tissue destruction.

Technique

The bristles are pointed apically with an oblique angle to the long axis of the tooth

The bristles are positioned partly on the cervical aspect of teeth and partly on the adjacent gingiva.

The bristles are activated by short back and forth motions and simultaneously moved in a coronal direction.

20 strokes are applied and procedure is repeated systematically on adjacent teeth.

Disadvantages

  • Time consuming
  • Improper brushing can damage the epithelial attachment.

Fones method or circular/scrub method-

Indications

  • Young children.
  • Physically or emotionally handicapped individuals.
  • Patients who lack dexterity.

Technique

The child is asked to stretch his/her arms such that they are parallel to the floor.

The child is then asked to make big circles using the whole arm to draw circles in the air.

The circles are reduced in diameter until very small circles are made in front of the mouth.

The child is now ready to make circles on the teeth with the toothbrush making sure that the teeth and gums are covered.

Advantages

  • It is easy to learn
  • Shorter time is required

Disadvantages

  • Possible trauma to gingiva
  • Interdental areas are not properly cleaned.
  • Detrimental for adults especially who use the brush vigoursly.

Vertical method-Leonard method

  • Vertical stroke is used.
  • Maxillary and mandibular teeth are brushed separately

Technique

The bristles of the toothbrush are placed at 90 degree angle to the facial surfaces of the teeth.

With the teeth edge to edge, place the brush with the filaments against the teeth at right angles to the long axis of the teeth.

Brush vigoursly without great pressure with a stroke that is mostly up and down on the tooth surfaces with just a slight rotation or circular movement after striking the gingival margin with force.

Enough pressure is used.it is not intended that the upper and lower teeth shall be brushed in the same series of strokes.

The teeth are placed edge to edge to keep the brush slipping over the occlusal or incisal surfaces.

Advantages

Most convenient and effective for small children with deciduous teeth.

Disadvantages

Interdental spaces of the permanent teeth of adults are not properly cleaned.

Charters method

Indications

  • Individuals having open interdental spaces with missing papilla and exposed root surfaces.
  • Those wearing fixed partial dentures or orthodontic appliances.
  • For patients who have had periodontal surgery.
  • Patients with moderate interproximal gingival recession.

Technique

a soft/medium multi-tufted tooth brush is indicated for this technique. Bristles are placed at an angle of 45 degrees to the gingiva with the bristles directed coronally. The bristles are activated by mild vibratory strokes with the bristle ends lying interproximally.

Advantages

Massage and stimulation for marginal and interdental gingiva.

Disadvantages

  • Brush ends do not engage the gingival sulcus to remove subgingival bacterial accumulations
  • In some areas the correct brush placement is limited or impossible, therefore modifications become necessary which add to the complexity of the procedure.
  • Requirements in digital dexterity are high.

Scrub brush method

This method of brushing requires vigorous horizontal, vertical and circular motions.it is the virtual free style of the brushing scene.

Disadvantages

  • Not very effective at plaque removal
  • Tooth abrasion and gingival recession.

The roll technique

This method of brushing is also known as the rolling stroke method or ADA method or the sweep method.it works fairly well for patients with anatomically normal gingival tissues.

Indications

  • Children
  • Adult patients with limited dexterity.
  • Useful for preparatory instruction for modified stillman’s technique since the initial brush placement is the same.

Technique

The bristles are placed at a 45 degree angle. The toothbrush is slightly rolled across the tooth surface toward the occlusal surfaces. This technique requires some flexibility around the wrist.

Advantages

Provides gingival massage and stimulation.

Disadvantages

  • Brushing too high during initial placement can lacerate the alveolar mucosa.
  • Tendency to use quick, sweeping strokes resulting in no brushing for the cervical third of the tooth, since the brush tips pass over rather than into the area and likewise for the interproximal area.
  • Replacing the brush with filament tips directed into the gingiva may produce punctuate lesions.

Physiologic method-smith method

The physiologic method was described by smith and advocated later by bell. It was based on the principle that the toothbrush should follow the physiologic pathway that is followed by food when it traverses over the tissues during mastication.

Technique

Bristles are pointed incisally or occlusally and then moved along and over the tooth surfaces and gingiva. The motion is gentle sweeping from incisal or occlusal surfaces over to facial surfaces and progressing towards and over the gingiva. It is almost an attempt to duplicate natures self-cleansing and gingival stimulation mechanism during mastication of food.

Advantages

  • Natural self-cleansing mechanism.
  • Supragingival cleaning is good.

Disadvantages

Interdental spaces and sulcular areas of teeth are not properly cleaned.

PARRY-ROMBERG SYNDROME

INTRODUCTION

Parry-Romberg syndrome is also called as facial hemiatrophy. It is slowly progressive atrophy of the soft tissues of half of the face and also progressive wasting of subcutaneous fat with atrophy of skin,cartilage,bone and muscle.

ETIOLOGY

  • The primary factor being the cerebral disturbances which leads to increased and unregulated activity of the sympathethic nervous system,which inturn leads to localized atrophy.
  • the other factors include:

extraction of teeth

local trauma

infection

genetic factors

disruption of stapedial artery

CLINICAL FEATURES

SEX: females are more affected than males with ratio of 3:2

AGE: occurs generally in the first decade

SITE: Mostly occurs on the left than the right side

CLINICAL PRESENTATION-

  • COUP DE SABRE

It is a painless cleft near the midline of the face or forehead.

Marks the boundary between normal and atrophic tissue.

  • ATROPHY

Bluish hue may appear in the skin overlying atrophic fat.

The affected area extends with atrophy of skin,cartilage,alveolar bone and soft palate on that side of the face.

facial wasting: ipsilateral salivary glands and hemiatrophy of the tongue,unilateral involvement of the ear,larynx,oseophagus,diaphragm,kidney and brain.

  • Pigmentation disorders
  • Facial naevi
  • Contralateral jacksonian epilepsy
  • Contralateral trigeminal neuralgia
  • occular abnormalities

ORAL MANIFESTATIONS

  • Incomplete root formation
  • delayed eruption of teeth
  • difficulty with mastication
  • hemiatrophy of lips and tongue
  • eruption of teeth on the affected side is retarded.

TREATMENT

No specific treatment but cosmetic surgeries are recommended.

BUDD-CHIARI SYNDROME

INTRODUCTION

Its an uncommon condition which occurs from occlusion of hepatic vein or inferior vena cava . it may be acute but usually is chronic.

Budd-Chiari Syndrome may also cause other conditions, including:

  • Portal hypertension (increased pressure in the portal vein, which carries blood from the intestines to the liver).
  • Esophageal varices (twisted veins in the esophagus, or “food tube”).
  • Ascites (a buildup of fluid in the abdomen).
  • Cirrhosis (scarring of the liver).
  • Varicose veins (abnormal, swollen blood vessels) in the abdomen and/or rectum.

CAUSES

  • Myeloproliferative diseases such as polycythemia and thrombocythemia.
  • pregnancy
  • protein c or S deficiency
  • oral contraceptives
  • tumours
  • congenital venous webs
  • trauma
  • radiotherapy
  • Sickle cell disease 
  • Inflammatory bowel diseases

CLINICAL FEATURES

  • Massive splenomegaly
  • Intractable transudative ascites
  • Jaundice
  • Pain in the upper abdomen
  • enlarged and tender liver
  • bleeding in the esophagus
  • hepatic encephalopathy
  • vomiting
  • liver failure
  • fatigue

DIAGNOSIS

  • Doppler ultrasound – It demonstrates the obstruction of hepatic vein with reverse flow.
  • CT/MRI – They show enlargement of caudate lobe.
  • Liver biopsy – this confirms the diagnosis of cirrhosis.

TREATMENT

  • Drug therapy -blood-thinning drug warfarin (Coumadin®) is often prescribed to prevent future clots. When recent thromobolysis is suspected thrombolytic therapy followed by low molecular heparin therapy may be useful.
  • Non surgical procedures – ascites is managed with transjugular intrahepatic portosystemic shunt(TIPS) and percutaneous transluminal angioplasty
  • Surgery – If you have liver failure (the liver no longer functions adequately), a liver transplant is the usual treatment.

HAIRY TONGUE

INTRODUCTION

Black hairy tongue is a harmless temporary oral condition. It gives the tongue black and flurry appearance.

This is a condition of defective desquamation of the filiform papillae.

OTHER NAMES-

black tongue, lingua villosa nigra.

ETIOLOGY-

Usually unknown but below are some of the causes-

  • A soft diet: A lack of stimulation for abrasion to the surface of the tongue can prevent sufficient shedding of the papillae.
  • Poor oral hygiene: This can cause a buildup of bacteria or yeast, contributing to hairy tongue.
  • Certain substances: Tobacco use, as well as excessive consumption of alcohol, coffee or tea, for example.
  • Dehydration or dry mouth: Lack of moisture in the mouth can make a person more prone to having hairy tongue.
  • Certain medications: These include some treatments for stomach acid reflux.
  • Oral hygiene products: Certain types of mouthwash, such as those containing peroxide. 

CLINICAL FEATURES

Age: occurs at any age

Sex: No gender predilection is seen but seen mostly in males than in females.

Site: dorsal surface and the lateral surface of the tongue.

CLINICAL PRESENTATION

  • Usually Asymptmatic.
  • Patient may present black discoloration of the tongue, although the color may be brown, tan, green, yellow or white.
  • hairy or furry appearance of the tongue.
  • Altered taste or metallic taste in your mouth.
  • Bad breath (halitosis)
  • Gagging or tickling sensation, if the overgrowth of the papillae is excessive.

HISTOLOGIC FEATURES

Elongated filiform papillae with mild hyperkeratosis and occasional inflammatory cells

Debris accumulation among the papillae and candida pseudohyphae may be seen.

TREATMENT

Recommended to maintain a good oral hygiene, use of mouth wash, regular brushing