The effects of maxillary expansion using a quad-helix appliance during the deciduous and mixed dentitions

One-line takeaway: The quad-helix produces significant, stable maxillary expansion (mean +5.3 mm intermolar, +4.1 mm intercanine) with midpalatal suture opening in both deciduous and mixed dentitions — with no significant difference between the two groups.

Why Early Maxillary Expansion Matters

Functional posterior crossbite is commonly associated with a transverse maxillary deficiency. In such cases, the mandible often shifts laterally during closure to avoid occlusal interference. This functional shift can lead to several secondary problems, including:

  • Midline deviation
  • Unilateral posterior crossbite involving multiple teeth
  • Condylar displacement toward the crossbite side
  • Development of a constricted maxillary arch

The quad-helix appliance is essentially a modification of the W-arch appliance, with the addition of four helices. These helices provide greater flexibility and allow a wider range of activation compared with traditional lingual arch expansion appliances.

Typically, the appliance is fabricated from 0.036-inch stainless steel wire and soldered to bands placed on the maxillary molars. The helices act as force modulators, delivering low, continuous expansion forces to the maxillary arch.

📋 Study Snapshot

ParameterDetail
Study designProspective clinical study
Sample10 subjects (5 deciduous, 5 mixed)
Mean age6 yrs 9 months
Age range4 yrs 5 mo → 9 yrs 3 mo
PublicationAm. J. Orthod., Feb 1981, Vol. 79
Appliance wire0.036″ stainless steel round wire
CementationPolycarboxylate cement
Anchor teeth2nd deciduous molars (deciduous group) / 1st permanent molars (mixed group)

⚙️ Appliance Design — Why Quad-Helix?

The quad-helix is a W-arch modification with 4 helical loops incorporated. These loops deliver four specific advantages over a standard W-arch:

Refined adjustment capability — fine-tune forces without full removal

💡 Exam Distinction: Quad-helix = slow/continuous expansion vs. jackscrew = rapid expansion. Both open the midpalatal suture, but quad-helix produces more physiologic bone remodeling with less relapse risk.

↑ Range of force application — stores energy over greater activation distances

↑ Flexibility — lighter, continuous, physiologic force

↑ Molar rotation capability — corrects rotated posterior anchors

Clinical Protocol for Quad-Helix Expansion

The typical treatment protocol involves an initial activation that produces a modest transverse expansion force. The patient is then monitored periodically, and adjustments are made only when expansion progress slows.

General clinical steps include:

  1. Cementing the appliance onto molar bands.
  2. Activating the appliance to produce expansion equivalent to approximately half the buccolingual width of the molars.
  3. Monitoring the patient weekly or periodically during the active expansion phase.
  4. Achieving slight overexpansion so that the lingual cusp of the maxillary molar contacts the buccal cusp slope of the mandibular molar in centric relation.
  5. Maintaining the appliance in a passive state for a retention period.

The entire active phase of expansion typically lasts about one month, followed by a retention period of approximately six weeks.

📊 Treatment Course Data

VariableDeciduous (x̄ 5y 3m)Mixed (x̄ 8y 2m)
Correction time (days)28.8 ± 4.931.8 ± 5.9
Retention time (days)44.2 ± 1.845.2 ± 1.7
Total appliance time (days)73.0 ± 5.977.0 ± 6.0
No. of adjustments1.2 ± 0.41.0 ± 0.3
Midpalatal suture opening✅ All subjects✅ All subjects
Between-group significanceNS (p > 0.05)← same

Memory hook: “30-45-75” — ~30 days active, ~45 days retention, ~75 days total.

📐 Transverse Dimensional Changes (The Core Data)

MeasurementDeciduous — IntercanineDeciduous — IntermolarMixed — IntercanineMixed — Intermolar
Before treatment (mm)27.5 ± 0.431.0 ± 0.429.3 ± 0.935.3 ± 2.0
Post-retention (mm)31.4 ± 0.936.7 ± 0.633.7 ± 1.140.2 ± 1.2
3-month recall (mm)29.8 ± 0.434.8 ± 0.431.5 ± 1.038.9 ± 1.5
Expansion increase+3.9 ± 0.8+5.7 ± 0.5+4.4 ± 0.7+4.8 ± 1.3
Relapse−1.6 ± 0.9−1.9 ± 0.3−2.2 ± 0.3−1.2 ± 0.4
Net gain+2.3 ± 0.4+3.9 ± 0.5+2.2 ± 0.6+3.6 ± 1.1
Significance (p)< 0.01< 0.001< 0.01< 0.02

Overall pooled means (both groups combined):

  • Intermolar expansion: +5.3 mm → net gain after relapse: ~+3.75 mm
  • Intercanine expansion: +4.1 mm → net gain after relapse: ~+2.25 mm

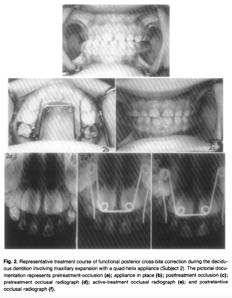
🔬 Sutural Opening — The Radiographic Finding

Every single subject (10/10) showed radiographic evidence of midpalatal suture opening on occlusal radiographs taken at 2 weeks of active treatment. The separation pattern was greatest anteriorly with a progressive posterior decrease — a classic sutural opening pattern. By end of retention, suture widening was no longer detectable radiographically, confirming bone fill-in.

📌 Exam alert: This finding proved the quad-helix produces orthopedic effects, not purely orthodontic tooth tipping — especially relevant in younger patients. This was the key debate this study addressed (W arch/Porter arch were thought to be purely orthodontic appliances).

↩️ Relapse & Overexpansion Protocol

Relapse averaged ~2 mm in both intercanine and intermolar dimensions after the 3-month post-retention period. The protocol to handle this:

  • Overexpand by 2–3 mm during active phase — lingual cusp tip contacts buccal cusp slope of mandibular molars bilaterally in centric relation
  • This slight overcorrection compensates for tooth uprighting relapse once appliance is removed
  • Slow expansion → more physiologic sutural remodeling → less relapse than rapid palatal expansion

⚡ Rapid vs. Slow Expansion

FeatureQuad-Helix (Slow)RPE/Jackscrew (Rapid)
Force typeLow, continuousHigh, intermittent
Suture opening✅ Yes (both dentitions)✅ Yes
Orthopedic effectPresent (especially young)Dominant
Orthodontic effectPresent (tooth tipping)Present
RelapseLowerHigher
Adjustments needed~1.1 (minimal)Multiple activations daily
Patient complianceNot requiredDevice-dependent
Total treatment time~75 days3–6 months incl. retention

Berlocher et al. (RPE comparison): intermolar +4.2 mm, intercanine +3.8 mm using RPE — comparable to quad-helix results here.


❗ Key Conclusions — Write These in Your Answer

  1. Functional posterior cross-bites are mandibular shift-related, causing midline deviation, condylar asymmetry, and arch constriction — early correction is essential
  2. Quad-helix produces significant transverse increases in all subjects (p < 0.001 for intermolar)
  3. No significant difference between deciduous and mixed dentition groups in expansion magnitude, rate, or relapse
  4. Midpalatal suture opens in both dentitions — confirming orthopedic, not just orthodontic, mechanism
  5. ~2 mm overexpansion effectively compensates for expected relapse
  6. Mandibular arch dimensions showed no significant change — no predictable expansion effect on the lower arch
  7. Appliance had excellent patient tolerance — no pain, speech difficulty, or significant soft tissue issues

🧠 High-Yield Mnemonics

“30-45-75”Active (30d) → Retention (45d) → Total (75d)
“+5 and +4”Intermolar +5.3 mm, Intercanine +4.1 mm
“Minus 2”Relapse is ~2 mm in both dimensions
“Plus 2-3”Overexpand 2–3 mm to pre-empt relapse
“10/10 sutures”Every subject showed palatal suture opening
“No diff deciduous vs mixed”The null hypothesis was accepted between groups

Leave a comment