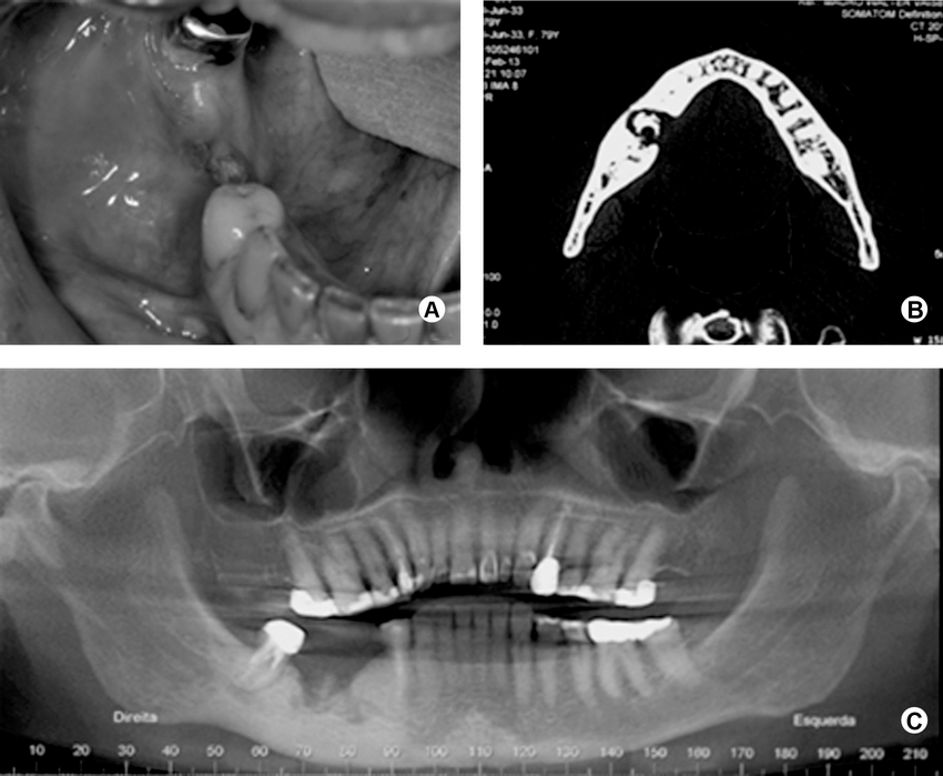
A 63-year-old woman presented with exposed bone sequestrating from the mandibular alveolar ridge. Serum biochemistry showed that her alkaline phosphatase level was elevated 20-fold over the top of the normal range.

Alkaline phosphatase is a chemical that can be found in your body, and if it is found in high levels in the blood, it could be a sign of Paget’s disease of the bone. Paget’s disease is a condition where the bones in your body grow too much and become weak.
Also, if someone has a long-term bone infection in their jaws, this can cause a problem called bone sequestration. It means that a piece of dead bone gets separated from the healthy bone.
Paget’s disease is treated with a medication called bisphosphonates, which can help make the bones stronger. However, bisphosphonates have also been linked to a condition where the bone in the jaw can die, called osteonecrosis.
So, in summary, high levels of alkaline phosphatase can be a sign of Paget’s disease, and sometimes bone in the jaw can die from chronic osteomyelitis or treatment with bisphosphonates.
