Oral Radiograph Anatomical landmarks

Common to Maxilla & Mandible:

  • Teeth – Enamel, Dentin, Cementum, pulp
  • Lamina dura
  • Alveolar crest
  • Periodontal ligament space
  • Cortical bone

Maxillary landmarks:

Mandibular landmarks:

Radiolucent vs. Radiopaque

➡️ Structures that are cavities, depressions or openings in bone such as a sinus, fossa, canal or foramen will allow x-rays to penetrate through them and expose the receptor. These areas will appear radiolucent or black on radiographic images.

➡️ Structures that are bony in origin absorb or stop the penetration of the x-rays and, therefore, do not reach the receptor. These areas appear radiopaque or white on radiographic images. Some structures partially absorb radiation and are represented in varying degrees of radiopacity.

Detailed description:

1) Landmarks common in Maxilla & Mandible

  • Teeth– Consist of enamel & dentin. Enamel cap covers the coronal portion & cementum over the root surface.
  • Enamel– Most radio-opaque & 92% mineralized. Seen on the coronal portion of teeth.
  • Dentin– Less radio-opaque as compared to enamel & 65% mineralized.
  • Cementum– Radiopacity less than enamel but similar to dentin & 50% mineralized.
  • Pulp– Consists of pulp chamber, root canals, pulp horns & apical foramina. It contains soft tissues, blood vessels & nerves.
  • Lamina dura- Is the dense cortical bone of the tooth socket that surrounds the teeth.
  • Alveolar crest– It is the gingival margin of alveolar process. It is the most coronal portion of alveolar bone b/w the teeth covered with dense cortical bone.
  • Cancellar or trabecular bone- Lies b/w the cortical plates in both jaws & forms lattice like network of inter-communicating spaces filled with bone marrow.

2) Maxillary Anterior landmarks:

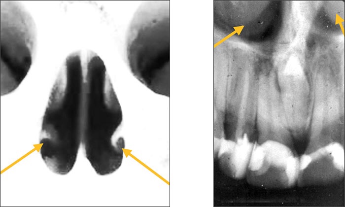
  • Nasal fossa – The nasal fossae are the nasal openings located above the maxillary anterior teeth. Radiographically, the nasal fossae appear as vertically oblong radiolucent structures bounded by bone.
  • Anterior Nasal spine – Located at the anterior & inferior portion of Nasal cavity situated in the midline. Appears as a V-shaped or triangular radiopacity.
  • Nose – Soft tissue tip of nose is seen in projection of maxillary central & lateral incisor. Appears with uniform opacity.
  • Nasal Septum – Vertical bony wall that divides the nasal cavity into right & left fossae formed by Vomer & ethmoid bone.
  • Inferior concha – Appears as diffuse radiopaque mass within nasal cavity.
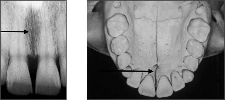
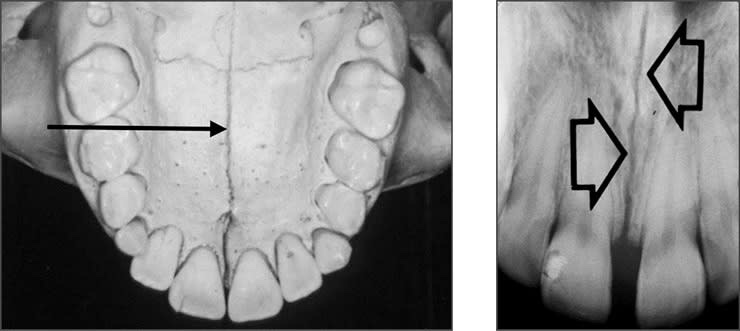
  • Intermaxillary suture – Immovable b/w two palatine process of maxilla.
  • Nasal cavity – Pear shaped, air filled conpartment of bone located superior to maxilla, appears as radiolucent area.
  • Incisive foramina – Nasopalatine vessels & nerves lies in midline on lingual aspect of hard palate. Radiographically, it appears between the roots of the central incisor teeth as a round to oval radiolucency less than one centimeter in diameter.
  • Floor of nasal cavity – Bony wall formed by palatal process of Maxilla & horizontal portion of palatine bone. Appears as dense radio-opaque band that cuts the maxillary process.
  • Lateral/canine fossa – Great depression in the maxilla in the region of apex of lateral incisor. Inferior to infra-orbital foramen b/w laterals & canines.
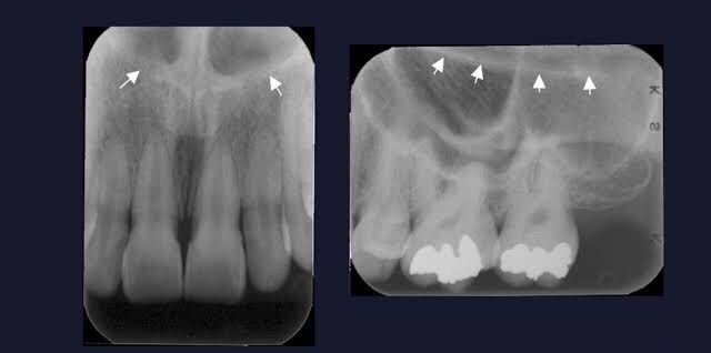
  • Y line of Ennis – The inverted Y is a radiographic landmark that depicts where the nasal fossa crosses the maxillary sinus. The boundary between them is shaped like an upside-down letter Y, hence its name.

3) Maxillary Posterior Landmarks:

  • Zygomatic bone – The zygomatic bone or cheek bone attaches to the right and left sides of the posterior maxilla. The zygomatic bone, quadrangular in shape, broadens as it extends posteriorly. This bilateral radiopaque structure is also known as the malar bone.
  • Zygomatic process – Extension of lateral surface of maxilla. Radiopaque U-shaped structure.
  • Nasolabial fold – It is seen in periapical region of premolar. It is seen as oblique line demarcating the region that appears to be covered by a slight radiopacity.
  • Pterygoid plate – Mesial & lateral pterygoid plates immediately posterior to tuberosity of maxilla with homogenous radiopacity.
  • Hamular process – Small hook like projection of the bone extending from the medial plate of sphenoid bone inferiorly downward & forward.
  • Maxillary tuberosity – Rounded bony prominence present posterior to third molar.
  • Maxillary sinus – Largest paranasal sinus occupies entire body of maxilla. Pyramidal in shape. Superior wall forms floor of mouth.
  • Nasolacrimal canal – Formed by nasal & maxillary bones. Ovoid in shape.

4) Mandibular Anatomical Landmarks

5) Mandibular Anterior Landmarks

  • Genial tubercle/Mental Spine– This structure serves as the locus of attachment for the genioglossus and geniohyoid muscles. It appears as spiny protuberance or prominence of bone (Doughnut-shaped) located in the midline on the lingual aspect of the mandible below the roots of the incisor teeth(2-4mm)
  • Lingual foramen – Small openings located on lingual surface of mandible situated in midline & surrounded by genial tubercle.
  • Mental fossa – Depression on labial surface. It has a diffuse radiolucent appearance above the mental ridge.
  • Symphysis – It is fused by end of first year of life, seen as radiolucent line through the midline of jaw b/w the images of developing deciduous central incisor.
  • Mental ridge/Triangle – Linear prominence of cortical bone located on central portion of anterior region of mandible. Occasionally seen as two bilateral inverted V-shaped radiopaque lines. Forward & upward to midline.

6) Mandibular Posterior Landmarks

  • Mental foramen – Appear as round slit like irregularity, partial or completely cortical radiolucency located in apical region of premolars.
  • External oblique ridge – The external oblique ridge or line is the bony anterior border of the ramus located on the outer aspect of the mandible. This ridge has a downward diagonal course. Radiopaque.
  • Internal oblique ridge – Irregular crest of bone on lingual surface of body of mandible. It runs parallel to but below the external oblique ridge. The internal oblique ridge is sometimes referred to as the mylohyoid line.
  • Mandibular canal – Tube like passage through bone that travels along the length of mandible in contact with the apex of third molar.It is also referred to as the inferior alveolar nerve canal.
  • Submandibular fossa – It is scooped but depressed area on bone located lingually below the myelohyoid ridge.This structure is also referred to as the submandibular gland fossa or mandibular fossa.
  • Inferior border of mandible is the lower most part of the mandible. Appears as dense broad radiopaque band of bone.
  • Coronoid process – It appears as triangular radiopacity with its apex divided & in the region of the third molar. Narrow in lateral dimension. The coronoid process is the only mandibular structure recorded on maxillary molar periapicals.
  • Lingula – It is a tongue shaped projection of the bone, located anteriorly to the mandibular foramen.

References: https://www.dentalcare.com/en-us/professional-education/gail-f-williamson

One thought on “Oral Radiograph Anatomical landmarks

Leave a comment