
Defined as physiological wearing away of tooth structure.

This phenomenon is more physiological than pathological
🛑SITES OF OCCURRENCE-
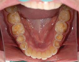
- occlusal surface
- incisal surface
- proximal surface
It is also associated with the aging process. More the older the person gets more it regresses
🛑MAIN CAUSE- Tooth to Tooth contact during Mastication
- It is seen in deciduous as well as in permanent dentition.
🛑Types of attrition
🔸Physiological attrition: Attrition which occurs progressively during normal aging process as a result of masticatory occlusion. Usually a slow process through out life .
🔸Pathological attrition: This is a severe form of attrition that occurs as a result of abnormalities in occlusion ,chewing pattern and structural defects in teeth .
Examples are bruxism or clenching

🛑AETIOLOGY
- Abnormal chewing habits: Parafunctional chewing habits like Bruxism and chronic persistent chewing of coarse foods or other substances like tobacco.
- In other occupations workers are exposed to an atmosphere of abrasive dusts e.g. silica
- Amelogenesis imperfecta and dentinogenesis imperfecta in which the hardness of enamel and dentine is reduced and such teeth become more prone to attrition and is seen in children
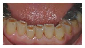
🛑Clinical presentation –
- Appearance of small polished facet on the cusp tip /ridge or slight flattening of the incisal edge
- Sensitivity and pain : attrition may be entirely asymptomatic or there may be dentine hypersensitivity.
- Tooth discoloration : attrition and erosion of the enamel exposes inner and darker dentine giving a yellower appearance
- Compromised periodontal support leading to drifting of teeth
- Altered occlusion due to decreasing occlusal vertical dimension
Men usually have more attrition than women as a result of greater masticatory force .
Also variations are seen with the coarseness in diet and chewing tobacoo

Sources -textbook of oral pathology – shafers, slide share , pictures – google photos.
