BENIGN GINGIVAL TUMOURS
b. Papillomas
https://dentowesome.wordpress.com/2020/04/19/papilloma/
c. PGCG
https://dentowesome.wordpress.com/2020/04/19/peripheral-giant-cell-granuloma/
d. CGCG
https://dentowesome.wordpress.com/2020/04/19/central-giant-cell-granuloma/
e. Leukoplakia
https://dentowesome.wordpress.com/2020/04/08/leukoplakia/
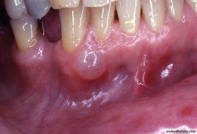
f. Gingival Cyst

👉🏻 Develop from odontogenic epithelium or traumatically implanted sulcular epithelium
Page 2 of 3

Thankyou for posting this. I am a dental student myself. Final year student. I got a revision. Good day
LikeLiked by 1 person
👍🤗
LikeLiked by 1 person