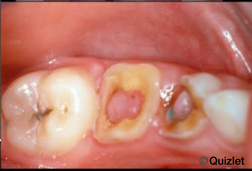
Conservative Dentistry And Endodontics / Oral Pathology PULP POLYP June 7, 2020July 22, 2020 Dr.MehnazLeave a comment 1 2 3 References: Shafer’sTextbook Of Oral Pathology, Grossman’s Endodontic practice Share this:Tweet Share on Telegram (Opens in new window) Telegram Share on WhatsApp (Opens in new window) WhatsApp Email a link to a friend (Opens in new window) Email Like Loading... Related