
➡️ Intra-arch malocclusions that include variations in individual tooth position and malocclusions affecting a group of teeth within an arch. Intra arch malocclusions can also include condition like spacing or crowding within the dental arch.

Brief Description:
- 1. DISTAL INCLINATION OR DISTAL TIPPING: This refers to a condition where the crown of the tooth is tilted or inclined distally.
- 2. MESIAL INCLINATION OR MESIAL TIPPING: This is a condition where the crown of the tooth is tilted or inclined mesially.

- 3. LINGUAL INCLINATION: This is an abnormal lingual or palatal tilting of the tooth. This condition is also called Retroclination.
- 4. BUCCAL INCLINATION: This refers to labial or buccal tilting of the tooth. This condition is also called Proclination.

- 5. MESIAL DISPLACEMENT: This refers to a tooth that is bodily moved in a mesial direction towards the midline.
- 6. DISTAL DISPLACEMENT: This refers to a tooth that is bodily moved in a distal direction away from the midline.

- 7. LINGUAL DISPLACEMENT: This is a condition where the entire tooth is displaced in a lingual direction.
- 8. BUCCAL DISPLACEMENT: This describes a condition where the tooth is displaced bodily in a labial or buccal direction.

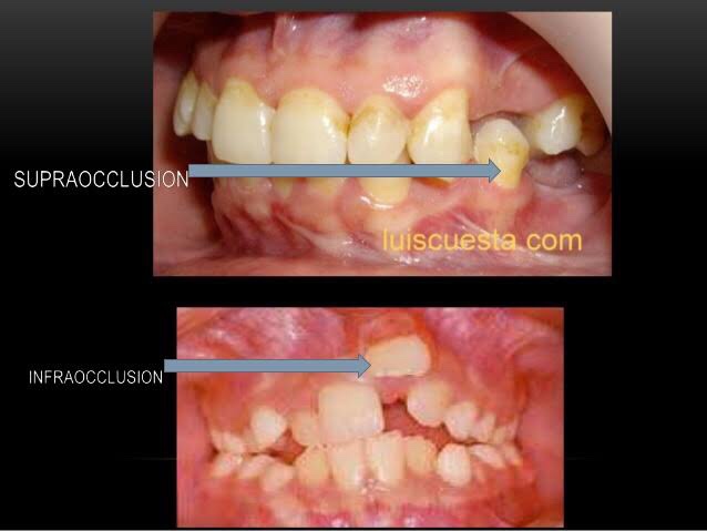
- 9. INFRAVERSION OR INFRA-OCCLUSION: This refers to a tooth that has not erupted enough compared to the other teeth in the arch.
- 10. SUPRA-OCCLUSION: This is a tooth that has over-erupted as compared to other teeth in the arch.

- 11. ROTATIONS: (Tooth movements around its long axis)
- A) Disto-lingual or mesio-buccal rotation: This descibes the tooth that has moved around its long axis so that the distal aspect is more lingually placed.
- B) Mesio-lingual or disto-buccal rotation: This descibes the tooth that has moved around its long axis so that the mesial aspect is more lingually placed.

- 12. TRANSPOSITION: This term describes a condition where two teeth have exchanged places.

References: Textbook of Orthodontics The Art and Science 6th Edition By Bhalajhi!
