













Download from the link below👇
References: Sturdevant’s Art and Science of Operative Dentistry, http://www.indiandentalacademy.com
Ref: Sturdvant textbook.



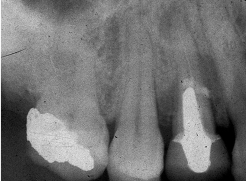
The above picture is a radiograph of a patient who attends your surgery with a toothache.She complained of dull aching pain on the upper right, with some tenderness in the upper buccal sulcus. The pain is unaffected by thermal stimuli. Describe your assessment and likely diagnosis.
Clinical features
Obtain a complete history first. How long has the pain been present? Have there been previous episodes or is this the first? Carry out a complete examination. Test each tooth for sensitivity with a cotton wool pledget soaked in ethyl chloride. Use gentle finger pressure on each tooth, followed up by percussion if there is no abnormal response. Record the responses and note if you manage to reproduce the pain the patient is complaining of.
Radiology
The radiograph shows a large restoration in the molar and a post crown on the first premolar. In the premolar, the root filling looks insubstantial and there is a periapical granuloma present. At the level of the end of the post, there is radio-opaque material overlying the tooth and bone. Also at this level and further coronally, lamina dura is lost along the root surface.
Likely diagnosis
The lack of any aggravation of the pain by thermal stimuli suggests that this is not pulpitis. The dull aching pain, along with the tenderness in the buccal sulcus, suggests chronic periapical periodontitis is a likelier diagnosis. On radiological grounds, there is only one likely tooth with problems: the first premolar. The apical granuloma suggests chronic inflammation, but you should bear in mind that the radiograph is a snapshot in time and that the lesion could be healing (although the poor root filling suggests otherwise). The interesting finding is the collection of signs around the end of the post. The radio-opaque material overlying the root here is probably extruded cement from when the post was cemented. This at least suggests a perforation and may indicate a fracture of the root at this level. Clinical examination might reveal mobility of the crown if a fracture were present
In general, drugs unless absolutely necessary should not be used during pregnancy because drugs taken by a pregnant woman can reach the fetus and harm it by crossing the placenta, the same route taken by oxygen and nutrients, which are needed for the growth and development of fetus













Anaesthetics – local & genral
….
1.Bupivacaine
Used as
👉 Percutaneous infiltration anaesthesia ,
👉 peripheral nerve block
👉Sympathetic nerve block
,
👉retrobulbar block ,
👉Cadual block
👉Lumbar epidural block
Brand names.
🙏Buloc by celon
Inj – 0.25 % & in 0.5 % ( 20ml )
.
🙏Bupivan by Sun pharma
Inj :- 0.25% (20ml)
0.5% ( 20ml )
0.5% ( 4ml )
.
🙏 Marcain by AHPL
Inj:- 0.5 % ( 20ml )
Inj :- 1 % ( 2ml )
.
👉 used in Induction & maintenance of general anaesthesia
.
🙏Fluothane by AhPL
I:vap :- 100% in ( 200 , 250 , 30, 50 ml ) soln
.
3.Isoflurane
Inhalation anaesthesia
👉 Induction & maintenance of general anaesthesia
.
🙏 Forane by abbott
Inhalant :- 100% in ( 100, 250 ml )
🙏Isorane by AhPL
I:sol :- 5mg/5ml in ( 100,250,30 ml )
.
.
,🙏Ketam by sun
Inj 10mg/ ml (10ml )
Inj 50mg / ml ( 2ml )
.
🙏Ketmin by Themis medicare
Inj 50mg /ml ( 10 ml )
Inj 50 mg/ ml ( 2ml )
.
🙏Ketsia by celon
Inj 100mg ( 2ml )
Inj 500mg ( 10ml )
Abbreviation
I sol :- inhalation solution
Ivap :- inhalation vapour
🙏Gesican 2% gelly by AHPL ( 30ml )
🙏Lidopatch by zydus cadila
T:patch- 5%
🙏Xylocaine by AstraZeneca
T:sol:- 2% 100ml
Oint :- 5% w/w ( 20mg )
Jelly :- 2% w/w ( 30mg )
..
🙏Xylocard 2 % by AstraZeneca
Inj (21.3mg/ml ) 50ml soln
.
🙏 Xylocaine viscous by astra zeneca
T:sol :- 21.3mg/ml ( 100ml )
🙏 Xylocaine topical 4% by AstraZeneca
T:sol :- 42.7mg/ml ( 30ml )
🙏Nummet by icpa
Spy :- 15% w/w ( 100g )
.
Some Combinations
Lidocaine + epinephrine
🙏 Lignosafe by stedman
( Lignocaine hcl 21.3mg & adrenaline 0.0125mg/ml )
Inj in 30ml
🙏 Xylocaine with adrenaline 2% by AstraZeneca
( Lidocaine hcl 21.3mg , adrenaline 0.005mg , nacl 6mg /ml )
Inj 30ml
.
Some other combination
🙏 Xylocaine 5% heavy ( lignocaine hcl 53.3mg/ml , Dextrose 75mg ) inj in 2ml
.
& Xylocaine soln ( same dosage as above ) T:Sol 100ml by AstraZeneca
🙏 Xylocaine spray by AstraZeneca
( Lidocaine hcl 100mg , ethanol 28.29% ) 500ml
.
🙏Xicaine by icpa
( Lignocaine 2 percent , adrenaline 0.022mg) inj 30ml
&
( Lignocaine hcl 2% , adrenaline 0.009 mg ) inj 30ml
.
🙏Asthesia by unichem
( Lidocaine 2.5% w/w , prilocaine 2.5% )
CRM (15,30,5 )g
.
Abbreviation
Crm :- cream
Tsol :- topical solution









































Reference- Cohen’s Pathways of Pulp