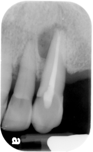
Clinically: painful, diffuse, reddened swelling affecting the right side of the face, centred on the cheek, causing partial closure of the eye. This developed overnight. The previous 3 days there had been, according to the patient, ‘an abscess’ present on UR3. The patient feels unwell and there is lymphadenopathy present. UR3 is grossly carious. Radiologically: UR3 has a periapical rarefying osteitis.

Yo, peeps! So, check this out – there’s this crazy situation going on with someone’s face, right? Like, it’s all swollen, painful, and looking like a tomato, especially on the right side, focused on the cheek. And get this, it happened overnight! 😱
So, my friend here had this “abscess” thing going on with their tooth (UR3, to be specific) for the past three days. Fast forward to now, and it’s a whole mess – they’re feeling like garbage, there’s some swollen lymph node action, and the eye on the right is only doing half its job because of the swelling.
Oh, and if you peek inside their mouth, UR3 is a total disaster zone – super decayed. And to make things even more interesting, when you take a look at it on an X-ray, there’s this periapical rarefying osteitis party happening.

Now, why am I telling you all this drama? Well, here’s the kicker – that sudden face expansion? It’s not some random curse; it’s all thanks to a not-so-friendly cellulitis causing some serious swelling. And get this, the culprit? A seemingly innocent tooth problem. Who would’ve thought, right? Moral of the story: don’t underestimate the power of a tiny toothache, it can wreak havoc on your whole face. Mind blown! 💥
