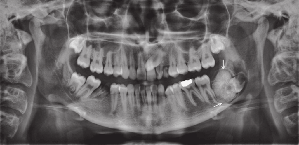
A 22-year-old man attended for treatment. He had a history of Gardnerʼs syndrome and noticed a bony hard lump on the ascending ramus of the mandible.

Gardner’s syndrome, also known as familial adenomatous polyposis (FAP), is a rare genetic disorder that affects the colon and rectum. It is caused by mutations in the APC gene and is inherited in an autosomal dominant pattern.
Individuals with Gardner’s syndrome develop numerous polyps in the colon and rectum, which can eventually lead to colorectal cancer if left untreated. Additionally, they may also develop polyps in the stomach and small intestine. The condition is typically diagnosed in the teenage years or early adulthood.
Gardner’s syndrome can also cause abnormalities in the jaw, including multiple osteomas, odontomas, and areas of hazy sclerosis. These dental findings may be one of the earliest signs of the condition and can help with early diagnosis.
