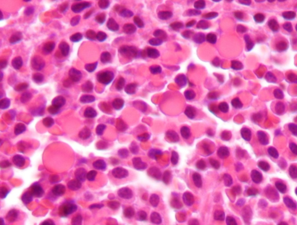
Pathology Hyaline change September 16, 2020September 16, 2020 Gerlyn BraganzaLeave a comment Mallory bodies Russel bodies Examples Source- textbook of pathology for dental students Ramdas Nayak and Google images Share this:Tweet Share on Telegram (Opens in new window) Telegram Share on WhatsApp (Opens in new window) WhatsApp Email a link to a friend (Opens in new window) Email Like Loading... Related