

A. Normal bone marrow B. Aplastic bone marrow
Sources : Shafer’s textbook of oral pathology , slideshare.com
Image sources : Slideshare and Google images










Sources : Shafer’s textbook of oral pathology , slideshare.com
Image sources : Slideshare and Google images







Sources : Shafer’s oral pathology , slideshare.com
Image source : Google images










Sources – Shafer’s textbook of oral pathology , SN Chugh Textbook of clinical medicine for dental students , osmosis.org
Image source – Google images.






Sources – Shafer’s textbook of oral pathology , Essentials of oral pathology by Purkait.
Image source : Google images , Slideshare.com , pinterest.com




Sources – Shafer’s textbook of oral pathology , Slideshare.com









References – Shafer’s textbook of oral pathology , SN Chugh Textbook of clinical medicine for dental students
Image reference : Google images
Plummer Vinson triad :
High risk of “squamous cell carcinoma”
Risk factors :
Pathophysiology :
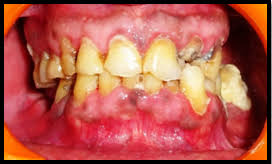
Signs :
Symptoms :








References – Shafer’s textbook of oral pathology , SN Chugh – Textbook of clinical medicine for dental students , slideshare.com
Image reference : Google images.








References – Shafer’s Oral pathology , S.N chugh – Textbook of clinical medicine for dental students
Image source – Google images.
Happy reading 🙂





References – Shafer’s oral pathology , SN Chugh – Textbook of clinical medicine for dental students , osmosis.org